紧急电话
+86 1391 811 1319
预约电话
021-62702875
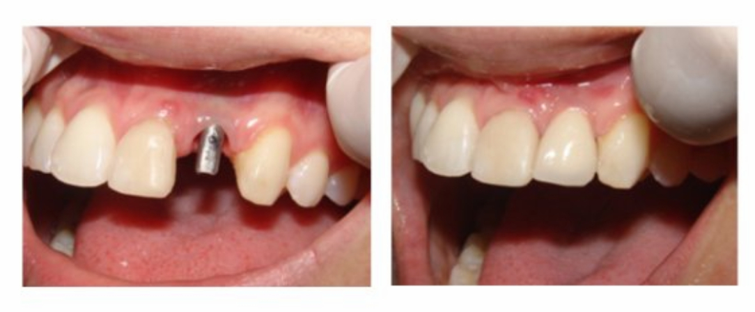
种植牙也被称作是人类的第三副牙齿,是一种以植入骨组织内的下部结构为基础来支持固位上部牙修复体的缺失牙修复方式。
种植牙可以帮助您恢复咀嚼、说话,从而改善您的生活质量。
— 种植牙 —
DENTAL IMPLANT
修复牙齿,恢复笑容,享受生活
Restore your Teeth, Restore your Smile, Enjoy life.
正畸
牙齿美容
口腔手术
预防服务
牙周治疗
修复治疗
根管治疗